こんなお悩みは
ありませんか?
- 抜歯をしないと
口ゴボが治らないといわれた - 食いしばりがつらくて、
悩んでいる - 虫歯が過去に多く、
矯正治療できるか心配 - ワイヤー矯正でないと
治せないといわれた - 抜けている歯が何本かあり、
矯正できないといわれた

そのお悩みの解決には
精密診断と
正確な矯正プランニング
が必要です
なぜ治せるか 1
1,500症例以上の
咬合力診断から導く最適解
CT診断2000例以上
20年以上の経験を持つ院長が、単なる歯並びの改善にとどまらず、顎関節の位置や噛み合わせの安定性まで考慮した「治療ゴール」を明確に設定。
1,500件を超える咬合診断の実績をもとに、虫歯や欠損歯を含む複雑な症例でも、一人ひとりに最適な治療計画をご提案できます。
なぜ治せるか 2
ワイヤーを使わない
治療を
可能にする
精密な矯正設計
目視やレントゲンだけでは把握できない、骨格や歯根の状態、顎の動きまでを可視化。歯の位置設定・IPRの併用・ステージングの工夫により、ワイヤーを使わずに治療設計が可能に。
科学的根拠に基づいて非抜歯の可能性を検討し、インプラントやセラミック治療との連携も的確に判断。
治療の安全性と仕上がりの精度を高め、理想的な口元の実現を目指します。
当院が選ばれる
5つの理由

1 1999年~実践している矯正治療実績
インビザライン治療を行う日本の歯科医師の中で、上位わずか5%のみに与えられる「プラチナエリート」プロバイダー認定を受けています。これは、1999年から積み重ねてきた豊富なワイヤー矯正を含む矯正治療経験と、多くの難症例を成功に導いてきた実績の証です。初めて矯正治療を受ける方はもちろん、過去に治療を断られた経験のある方も、安心してお任せください。
WEB予約をする
2 咬合力診断を実践している矯正医は、ごくわずか、把握することで負担の大きい歯を診断
「見た目を綺麗に並べる」だけで、本当に良い治療と言えるでしょうか。当院では、矯正医の中でもごく僅かしか実践していない、歯にかかる力のバランスを科学的に分析する「咬合力診断」を導入。将来、過度な負担がかかり問題を起こす可能性のある歯を特定し、長期的に安定する噛み合わせを設計することで、あなたの歯の未来を守ります。
WEB予約をする
3 できる限り「非抜歯」で矯正を考えます
「矯正には抜歯が必要」というのが、今でも一般的な考え方です。しかし当院では、安易に健康な歯を抜くべきではないと考えています。精密な診断と治療計画により、実に90%以上の症例で歯を抜かない「非抜歯矯正」を実現。他院で「抜歯は必須」と診断された方にも、非抜歯の可能性を追求します。大切なご自身の歯を、最大限に残す努力をお約束します。
WEB予約をする
4 口腔外科専門医による顎関節診断、CT診断、治療のスピードと質を担保する
矯正治療は、歯だけを見ていては成功しません。当院では、顎関節や骨格の診断は口腔外科専門医でもある総院長がおこないます。CTなどの高度な画像診断を担当することで、治療の精度と安全性を飛躍的に高め、治療期間の短縮にも繋げます。
WEB予約をする
5 必要に応じて、そのまま1ストップで治療まで対応
「矯正を始めたいけれど、虫歯があるから…」「歯周病が心配…」そんなお悩みも、当院ならまとめて解決できます。矯正治療と並行して、虫歯や歯周病の専門的な治療も院内で一貫して行える「包括歯科診療」に対応。あちこちの医院に通う必要なく、お口の健康をトータルでサポートできるため、安心して矯正治療に専念いただけます。
WEB予約をする私にお任せください!
歯科医師の紹介
Preventive dentistry expert
20年以上を通じた技術の研鑽
『歯を残す・守る』名医として
natural beautyを伝える歯科医院を。
『虫歯になったから歯医者へ行く』といった具合の悪いところだけを治療するのではなく、私たちは初診で来院された皆様に対して口腔内全体の検査(歯科ドック)を行い、的確に診断し、一人一人に合わせた最適な治療プランの説明を来院者全員に行います。
『診断なくして、治療なし。』 なにより診断が一番重要です。
診断の時間や考察なくして、良い治療、良い予防は、あり得ないと考えています。患者様とともに二人三脚、患者様中心の考えで、診断説明、治療提案、治療実施を行います。

日本口腔外科学会 専門医
日本口腔インプラント学会 専門医
国際インプラント学会 指導医専門医
医療法人 靖正会 理事長 兼 総院長
中村 信一郎
マウスピース型矯正って
どんな治療をするの?

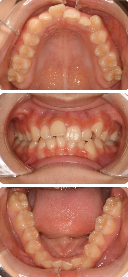
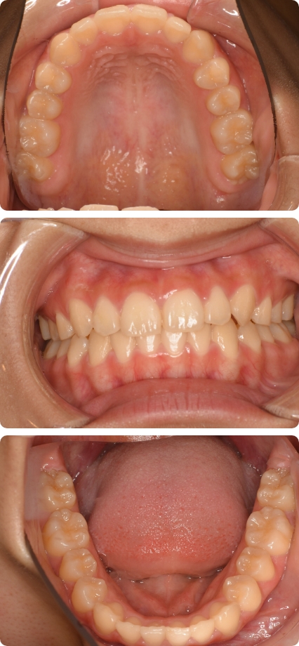
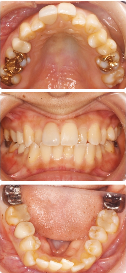
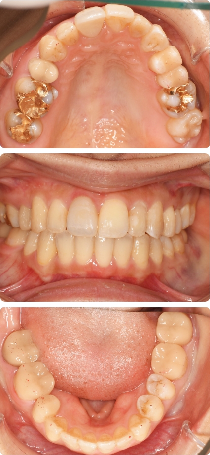
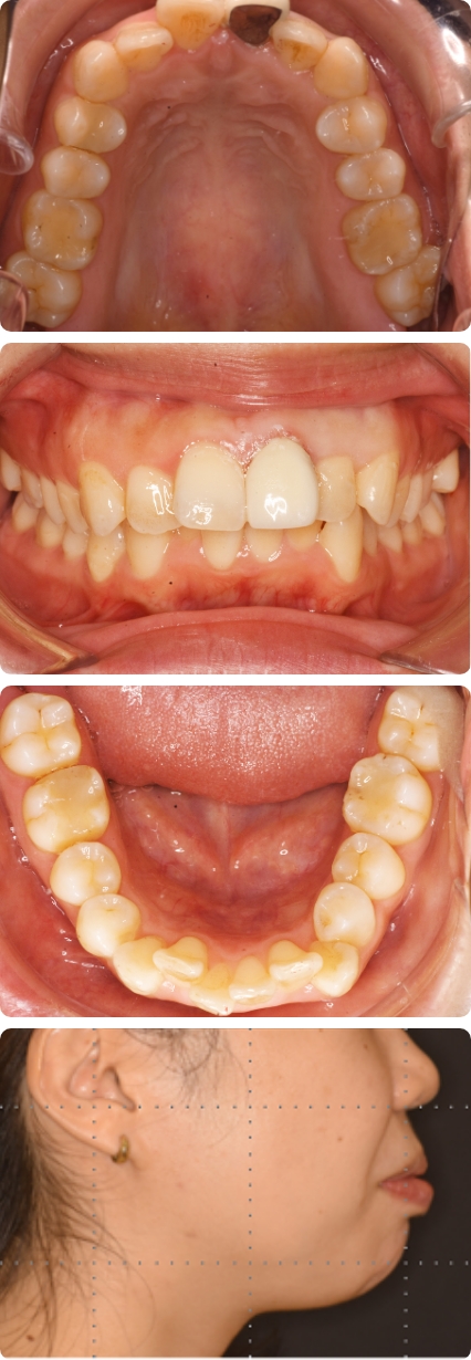
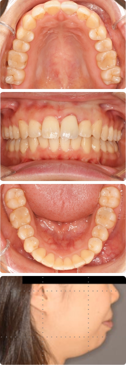
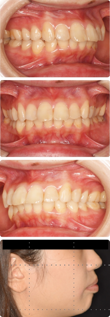
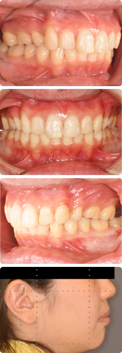
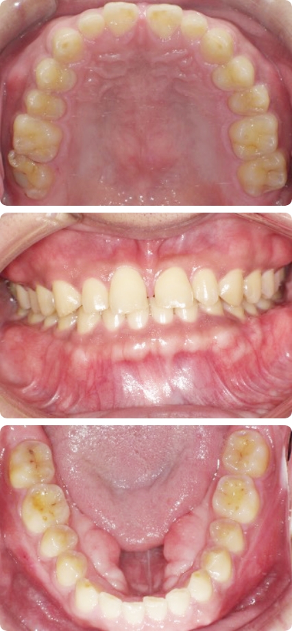
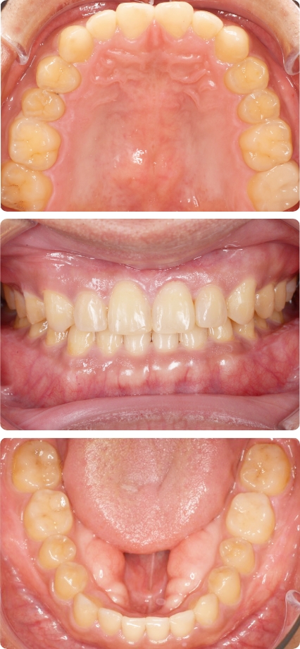
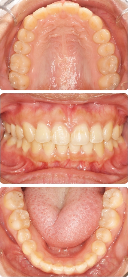
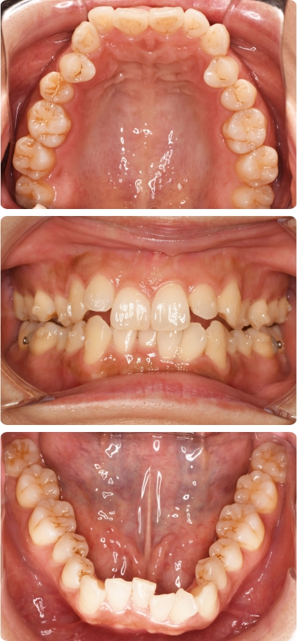
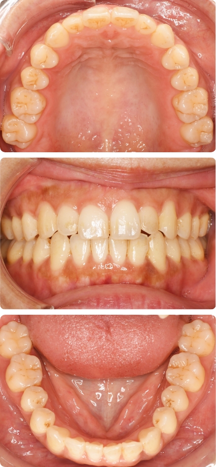
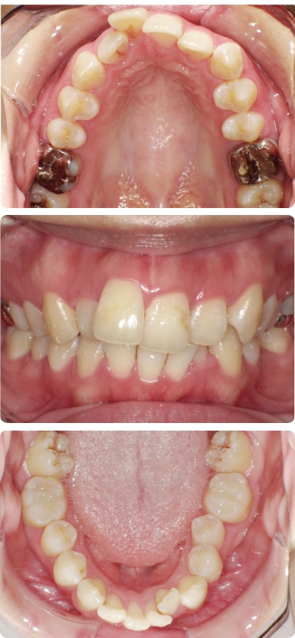
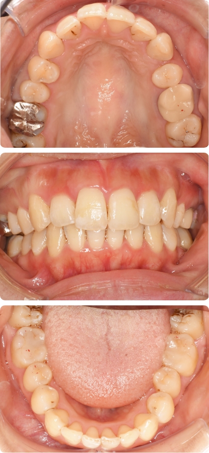
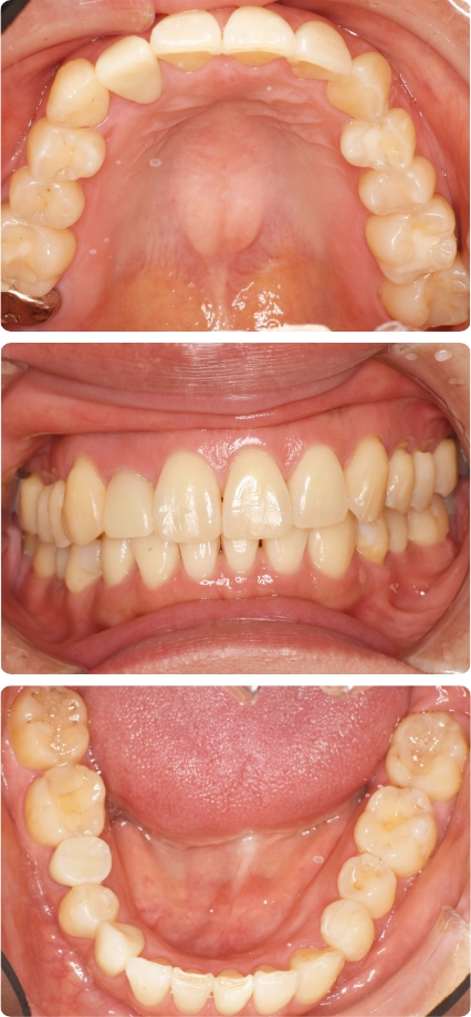
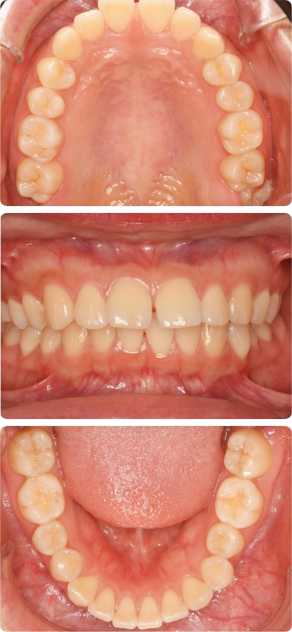
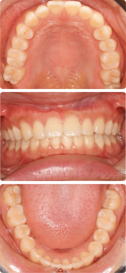
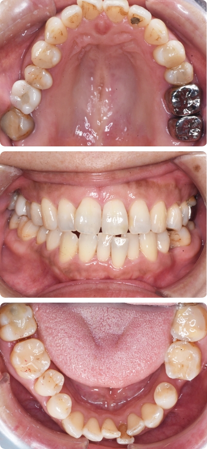
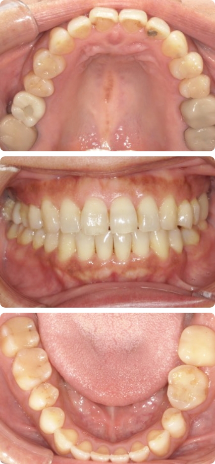
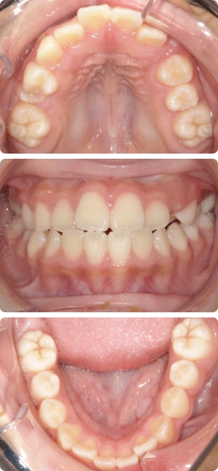
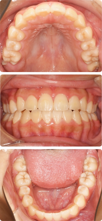
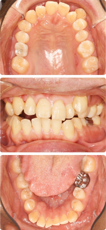
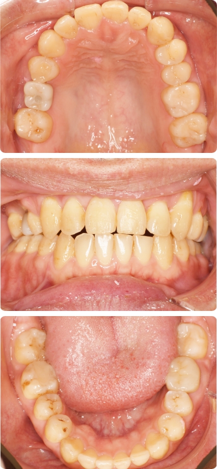
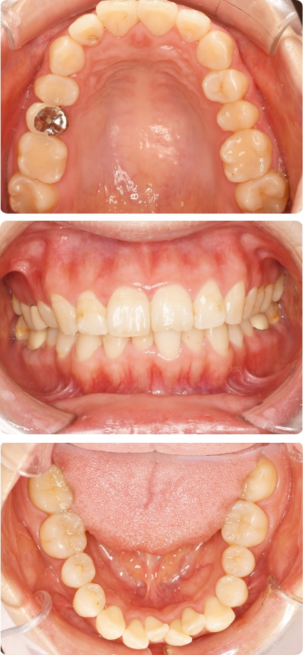
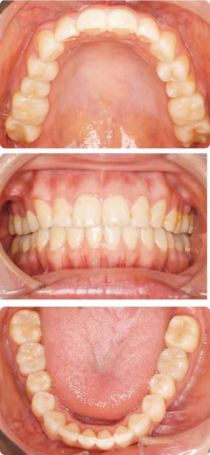
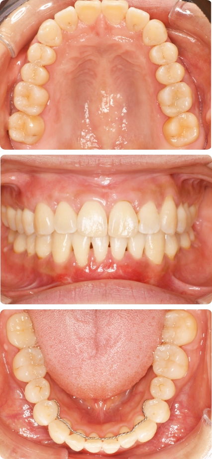
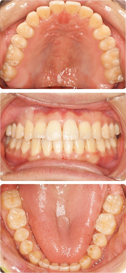
症例をご紹介いたします!
マウスピース矯正の症例
当院の
マウスピース型矯正
治療の流れ
無料カウンセリング
まずは、患者さまの治したいポイントをお伺いします。
十分にお話しください。遠慮はなさらないでください。
インビザラインカウンセリングドクター(総院長 中村信一郎)
による診査説明内容
- ・お口の中の診察、顎関節の診察(ドーソン法)、全身的な既往歴の聴取。
- ・希望の方には、パノラマレントゲン撮影
- ・大まかな治療方針の説明(大まかな治療期間、費用、支払い方法等の説明も含む)
- ・希望の方には、iTERO2による即日シミュレーションとそれに関する説明
費用無料。
行き過ぎた治療の勧誘等一切いたしません。お気軽にお申し込みください。
精密検査(約30分)
FLOW1から翌日以降予約可能
各種口腔内、口腔外写真撮影、顎関節精密検査(ドーソン法筋の触診等)・パノラマ撮影・オールデンタル撮影・セファロ(頭部エックス線規格写真正面、側方)撮影・CT撮影・iTERO2による口腔内光学スキャン印象を行います。
一般的な医院で、約30,000円~40,000円で行っている内容です。
CT撮影や、ドーソン法による顎関節精密検査、オールデンタル撮影は、
やっていない医院が多いと思います。
費用無料。
検査結果の説明(1時間)
FLOW2から1週間で予約可能
各種検査の項目を、詳細に説明いたします。加速矯正装置の説明
実際の治療計画、治療時間等、しっかり説明します。
その他、疑問点しっかりお聞きした上で、きちんと説明いたします。
ここまで、すべて無料です。
矯正治療の開始
FLOW3から2~3週間後に予約可能です。
(クリンチェック承認作業があるため)
インビザラインアライナー1枚目の装着開始。
脱着、装着の詳細指導、その他疑問点があれば、納得いただくまできちんと説明いたします。
1から2週間に一枚の交換スピードで行います。
加速矯正装置を使うと、半分の時間に短縮することも可能です。
治療終了時、安定のために、咬合調整(かみあわせの微妙な調整を行ないます。)
保定期間
治療が終了した後、正しくなったかみ合わせを保定装置で維持をします。
保定装置は、アライナーを少し分厚くした感じで、基本夜間就寝時のみ装着します。
保定期間は、患者さまの歯列の安定度によりますが、2年以上であることがほとんどです。
定期的なメインテナンス
歯周病や、虫歯の予防のためにも、メインテナンスに通っていただくことをお勧めしています。
かみ合わせのチェックは半年に一度必要です。
治療費用について
小児混合歯列期
インビザライン
ファースト
400,000円(税抜)
部分矯正
インビザライン
ライト
350,000円(税抜)
全体矯正
インビザライン
750,000円(税抜)
費用に
含まれる
もの
検査、診査診断料、
アタッチメント付与、
観察、調整料、
指導料、リテーナー
【費用に含まれないもの】
歯科衛生士によるメンテナンス
オプション
スマイルプロ※インビザライン併用(特別料金)
33,000円(税込 36,300円)
ドクター挨拶
マウスピース矯正
(インビザライン)への想い
総院長の中村です。
マウスピース矯正に関して、主に自分が患者として
矯正治療を受けた経験を通してそのメリットをお伝えしたいと思います。
矯正治療への思い
歯学部を卒業した直後、歯並び、かみ合わせが悪かった私は、矯正治療を受けることにしました。
当時は、マウスピース矯正はありませんでしたから、当然のようにワイヤー矯正を受けました。矯正治療が開始した時の率直な感想は、こんなに痛くて、また食事もしずらいのでこのような治療を二年も続けられるか心配、、でした。
ワイヤー矯正の治療の仕組みは今もあまり変わっていませんので、今から始める患者さまも当時の私と同じような感想をお持ちになる人も多くいると思います。
それでも矯正治療が終了し、ワイヤーが外れた日、その時の感動は今も忘れません。ワイヤー矯正がつらかったことからも解放されたこともありますが、何より食事がおいしく食べられました。見た目もよくなったので、意味もなく笑ってにこにこ確かめたりしました。自分にも自信が持てるようになったり、それはそれは、素晴らしい体験でした。
矯正治療をして、歯並びが良くなり、かみ合わせもよくなり、顎関節症のリスクも減り、見た目にも自信が持てる。
今後、虫歯や歯周病になるリスクも減るし、かみ合わせが原因で歯を失うこともないだろう。生涯にわたってその恩恵をうけられる。
文字にすると、いまいち伝わりづらいかもしれませんが、本当によかったです。
少しでも多くの患者さまに、矯正治療のもつ可能性を感じていただいて、
治療を受けていただきたいと考えてきましたが、
ワイヤー矯正の問題点は、デメリットとしてあり続けました。
ワイヤー矯正の治療中のつらさは、乗り越えなくてはいけないのです。
私は、歯並びが、よくなった患者の一人として、多くの方に矯正治療を受けていただきたいと心から願って多くの方に説明をし、治療を受けていただいてきました。
そこで出会ったのが、
マウスピース矯正です。
インビザライン
オンライン矯正相談
当院では、矯正相談専門のスタッフが患者様のお悩みを一人一人丁寧に伺い、
最適な治療法をご案内いたします。
治療に関する疑問や不安な点など、どんな小さなことでも当院の矯正専門スタッフにご相談ください。
LINEで簡単矯正相談
医院案内
〒570-0025 大阪府守口市竜田通1-1-7 マンション ル・メトロ1階
06-6994-5454| 月 | 火 | 水 | 木 | 金 | 土 | 日 | |
| 10:00~18:30 | ● | ● | ● | ● | ● | ▲ | ― |
休診日:日曜日・祝日
▲土曜日は8:30〜17:00
〒572-0827 大阪府寝屋川市萱島本町20−8
06-6994-5454| 月 | 火 | 水 | 木 | 金 | 土 | 日 | |
| 10:00~14:00 | ● | ● | ● | ● | ● | ▲ | ― |
| 15:00~18:30 | ● | ● | ● | ● | ● | ― | ― |
休診日:日曜日・祝日
▲土曜日・祝日は8:30〜12:30 / 13:30〜17:00
〒570-0025 大阪府守口市竜田通1-1-12
06-6994-5454| 月 | 火 | 水 | 木 | 金 | 土 | 日 | |
| 9:30~13:30 | ● | ● | ● | ● | ● | ▲ | ― |
| 14:30~18:00 | ● | ● | ● | ● | ● | ▲ | ― |
休診日:日曜日・祝日
▲土曜日は8:30〜12:30 / 13:30〜17:00




































